
主持:王玮 教授
主讲:马江伟 PCCM学员
到场专家:王秋月、赵洪文、李尔然、苏新明、代冰、孔德磊、刘璠、王赞峰、侯刚、颜晓菁、褚云卓、郑松、李佩玲

2019年10月28日 19:00~21:00

中国医科大学第一附属医院
加入讨论,自我提升
点击文末「阅读原文」
或识别下方二维码进入直播间



病例简介
患者女,47岁,入院时间:2019年6月13日
主诉:间断发热伴干咳、气短10天
现病史:入院10天前洗澡后着凉,发热39℃,干咳,略气短。静滴阿奇霉素3天,症状改善。停药一天,再次发热,38℃,气短加重。再次应用阿奇霉素及头孢类抗生素治疗效果不佳。当地医院检查D二聚体增高,血小板减少;肺动脉CTA发现肺栓塞和肺浸润影。当地诊断「肺栓塞,肺炎」,因血小板过低及进行性下降未予抗凝。病来患者无头晕头痛、无晕厥、无恶心呕吐、无腹痛腹泻,饮食睡眠差,体重较前无明显变化。
既往史:身体健康,无高血压、冠心病及糖尿病病史。
个人史:无烟酒嗜好,家住盘锦,偶尔少量食用生鲜,无口服激素、避孕药等病史。
婚姻及月经生育史:已绝经,孕1产1,无反复流产史。
手术史:22年前行剖宫产手术,近期无手术外伤及制动病史。
家族史:父母、1兄弟、1姐妹健康状况良好,无与患者类似疾病,无家族性遗传病史。
入院查体:T 36.6℃,P 110次/分,R 24次/分,Bp115/81mmHg。身高:158cm,体重50kg,BMI 20.03。神志清,一般状态可,呼吸略促、贫血貌,浅表淋巴结未触及。双肺听诊左上肺呼吸音粗,双下肺呼吸音弱,可闻及湿啰音。心律齐,P2>A2,胸部左下缘可闻及收缩期杂音。腹软,无压痛、反跳痛及肌紧张。左手肿胀,大鱼际处可见结痂、无破溃。右下肢凹陷性水肿。周身少量淤斑和紫癜。
辅助检查:
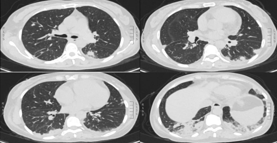
血气分析:PH:7.47,PaO2:58mmHg(双鼻导管吸氧7L/min)PaCO2:32mmHg,HCO3-: 22.3mmol/L血常规:WBC 13.22×10^9/L,NE 7.31×10^9/L(3.5-9.5),NE% 55.3%,EO 2.8×10^9/L(0.02-0.52),EO% 21.2%,Hb 79g/L(115-150),PLT 6×10^9/L(125-350)尿常规:蛋白 3+, 潜血2+, 尿系列:RBC 3-7/HP, 异形80%CRP 75.7mg/L(0-5),PCT 0.514ng/ml(0-0.046),ESR 25mm/h凝血四项:PT15.9s(11-14.3),凝血酶原活动度 70%(80-120),PT-INR 1.26,APTT 42.6s(32-43),Fg 1.54g/L(2-4)D-dimer>20ug/ml(0-0.5)生化指标:ALB 21.1g/L(40-55),ALP 208U/L(50-135),GGT 119U/L(7-45),血糖正常,余AST、ALT、胆红素、肌酐、离子均正常。心脏指标:BNP 173pg/ml (0-100),cTnI 0.036ng/mL (0-0.026)2019-6-13肺动脉CTA


初步诊断
肺栓塞
血小板减少
肺炎?
参会专家

王秋月
医学博士,教授,博士生导师。中国医科大学附属第一医院呼吸与危重症医学科副主任,中华医学会呼吸病学分会慢阻肺学组委员、中华医学会辽宁省结核病学分会副主任委员、辽宁省呼吸分会委员、沈阳市呼吸分会主任委员等。

赵洪文
医学博士,教授,博士生导师,辽宁特聘教授。中国医科大学附属一院呼吸与危重症医学科副主任、MICU主任。中国残疾人康复协会“肺康复专业委员会”副主任委员,辽宁省细胞生物学学会重症医学专业委员会副主任委员,中华医学会呼吸病学分会危重症学组委员 等。

李尔然
医学博士,教授,主任医师,硕士导师。于2000-2003年间分别在美国约翰霍普金斯大学医学院生化系及分子生物学和基因学系从事博士后研究。目前任中国医科大学附属第一医院呼吸疾病研究所生化研究室主任,中国医师协会呼吸医师分会感染学组委员等。

苏新明
医学博士,副教授,副主任医师,硕士生导师;中华医学会呼吸分会哮喘学组委员,中华医学会变态反应学会呼吸学组委员,中国医师协会哮喘与变态反应工作委员会委员,中国研究型医院学会呼吸病学专业委员会委员,中国中西医结合学会变态反应专业委员会呼吸哮喘专业组组员 等。

代冰
医学博士,副教授,硕士研究生导师。中华医学会呼吸病学分会呼吸治疗学组 委员,中国医师协会呼吸分会青年工作委员会委员,中国医师协会呼吸分会肺生理工作组委员,中国康复医学会呼吸分会呼吸治疗学组副组长 等。

孔德磊
医学博士,副教授/副主任医师,硕士研究生导师。辽宁省生命科学学会睡眠医学专业委员会青委副主委,辽宁省医学会变态反应分会青年委员,中国医师协会呼吸分会慢病预防工作组成员,中国医药教育协会呼吸病康复委员会 委员等。

刘璠
副教授,辽宁省医学会呼吸病分会肺栓塞及肺血管病学组组员;中国医师协会呼吸医师分会栓塞及肺血管病学工作委员会委员。

王赞峰
博士,教授,硕士研究生导师。中华医学会呼吸分会纵膈与胸膜疾病组委员,中国医师学会呼吸分会肺癌学组委员,中国医促会胸部肿瘤分会委员,东北呼吸肺癌联盟秘书。

侯刚
医学博士,教授/主任医师,硕士研究生导师。中华医学会呼吸病学分会青年委员、介入呼吸病学学组委员,中国医师协会呼吸医师分会介入呼吸病学工作组委员、内镜医师分会呼吸内镜专委会委员、肺部肿瘤介入诊疗学组副组长。中国慢性阻塞性肺疾病联盟委员,中国康复医学会呼吸康复专业委员会 委员等。

颜晓菁
中国医科大学附属第一医院血液科副主任、教授/主任医师、博士生导师,辽宁省特聘教授,中华医学会血液学分会青年委员,中国抗癌协会血液肿瘤专业委员会委员,辽宁省医学会血液学分会副主任委员,辽宁省血液学分会青年委员会主任委员,辽宁省抗癌协会淋巴瘤分会委员 等。

褚云卓
中国医科大学附属第一医院检验科,教授,硕士生导师。全国细菌耐药监测学术委员,辽宁省细菌耐药监测网中心负责人。中华医学会微生物免疫分会临床微生物学组委员,中国医师协会检验医师分会感染性疾病检验医学专家委员会第一届委员会委员,辽宁省医学会呼吸病学分会感染学组副组长。

郑松
医学博士,中国医科大学附属第一医院皮肤科副教授,2009年—2010年 美国纽约 Ackerman Academy of Dermatopathology 访问学者,中华医学会皮肤性病学分会 青年委员,中国医师协会皮肤科医师分会 青年委员,中华医学会皮肤性病学分会 皮肤病理学组委员等。

李佩玲
医学博士学位,副教授,硕士生导师 。专业特长:熟练掌握CT及MR等大型医疗设备的性能及操作技术。对胸部疾病的影像诊断具有丰富的临床经验,尤其擅长肺部疾病的影像诊断及心血管疾病的成像技术及疾病的诊断。
主持与主讲

王玮
医学博士,教授、主任医师,博士生导师。中国医科大学附属一院呼吸与危重症医学科主任。中华医学会呼吸分会睡眠学组副组长,中华医学会呼吸病学分会常委,中国医师协会睡眠障碍委员会副主任委员,辽宁省呼吸学会副主任委员,辽宁省“百千万人才工程”百人层次,辽宁省特聘教授等。

马江伟
2017级PCCM学员,医学博士,主治医师。
点击文末「阅读原文」
或识别下方二维码进入直播间



2019年10月28日 19:00~21:00

中国医科大学第一附属医院

特别鸣谢
瀚晖制药有限公司
直播结束后,《呼吸界》将推送相关精彩回顾,敬请期待!

点击文末「阅读原文」,进入《呼吸界》直播间查看更多